Periodontal Therapy in Fox Point, WI

Protect Your Smile for Life

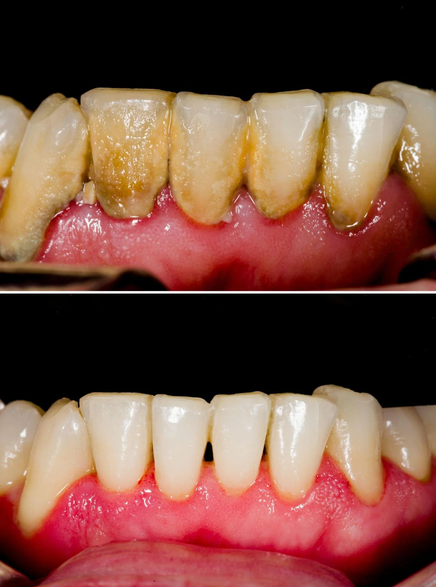
“Science-backed periodontal therapy to increase healing time with revolutionary PerioDT®”

At Fox Point Dental Studio, we enhance periodontal therapy with PerioDT®, an advanced antimicrobial treatment that targets harmful bacteria in periodontal pockets.

Benefits of PerioDT:

  • Helps reduce bacterial load after deep cleaning

  • Supports faster healing of gum tissues

  • Minimizes inflammation and infection

  • Non-invasive and comfortable application

PerioDT is used as an adjunct to scaling and root planing to improve treatment outcomes and promote healthier gums.

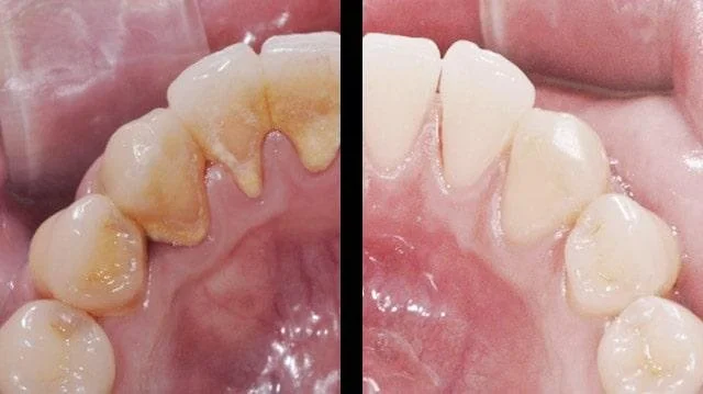
PerioDT gum disease treatment before and after showing reduction of inflammation and healthier gums Fox Point WI periodontal therapy near Bayside Shorewood Glendale

What to Expect During Your Visit

Your periodontal visit may include:

  • Review of medical and dental history

  • Measurement of gum pocket depths

  • Removal of plaque and tartar above and below gums

  • Irrigation or antimicrobial therapy (PerioDT)

  • Personalized home care recommendations

We prioritize comfort and use modern techniques to ensure a smooth experience.

Stop Gum Disease Before It Gets Worse

Early treatment can save your teeth and protect your health. Schedule your periodontal evaluation today with us at Fox Point Dental Studio.

roaringsmilesfrontoffice@gmail.com
(414) 236-5885