RESTORATIVE DENTISTRY in Fox Point, WI
Repair, Restore, and Strengthen Your Smile
Comprehensive restorative dental care for patients in Fox Point, Bayside, Whitefish Bay, Glendale, and Mequon. We restore damaged, decayed, or missing teeth with modern, comfortable solutions.
What is Restorative Dentistry?
Restorative dentistry focuses on repairing and rebuilding damaged or missing teeth to restore function, health, and appearance. Whether you have a cavity, broken tooth, or missing teeth, our goal is to bring your smile back to full strength and comfort.
At Fox Point Dental Studio, we use advanced techniques and high-quality materials to deliver long-lasting, natural-looking results.
Our Restorative Dental Services
-

Tooth-Colored Fillings
We use durable, natural-looking, and safe composite fillings to repair cavities and restore tooth structure while blending seamlessly with your smile.
-

Dental Crowns
Custom dental crowns protect and strengthen damaged teeth, restoring both function and aesthetics.
-

Dental Bridges
Bridges replace one or more missing teeth by anchoring to adjacent teeth, restoring your bite and smile.
-

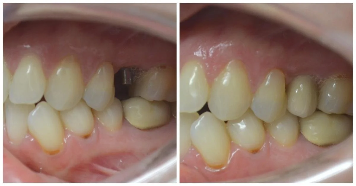
Dental implant crowns
Dental implants are the gold standard for replacing missing teeth—offering a permanent, stable, and natural-feeling solution.
At Fox Point Dental Studio, we will ensure your implant is crowned once it’s stable in your jaw.
-
You may benefit from restorative treatment if you have:
Tooth pain or sensitivity
Cavities or visible decay
Cracked, chipped, or broken teeth
Missing teeth
Difficulty chewing
Old or failing dental work
Early treatment can prevent more complex and costly procedures later.
-
Restoring your teeth is about more than appearance—it’s essential for your overall health and quality of life.
Benefits Include:
Restores proper chewing and function
Prevents further damage or decay
Maintains alignment of surrounding teeth
Improves confidence and smile aesthetics
Supports long-term oral health
-
Every patient is different. We create customized treatment plans based on your dental health, goals, and budget.
We take the time to explain your options clearly so you can make confident, informed decisions about your care.