ICON White Spot Treatment: The No-Drill Way to a Perfect Smile in Fox Pont, Wi

Simple Treatment. Stunning Results

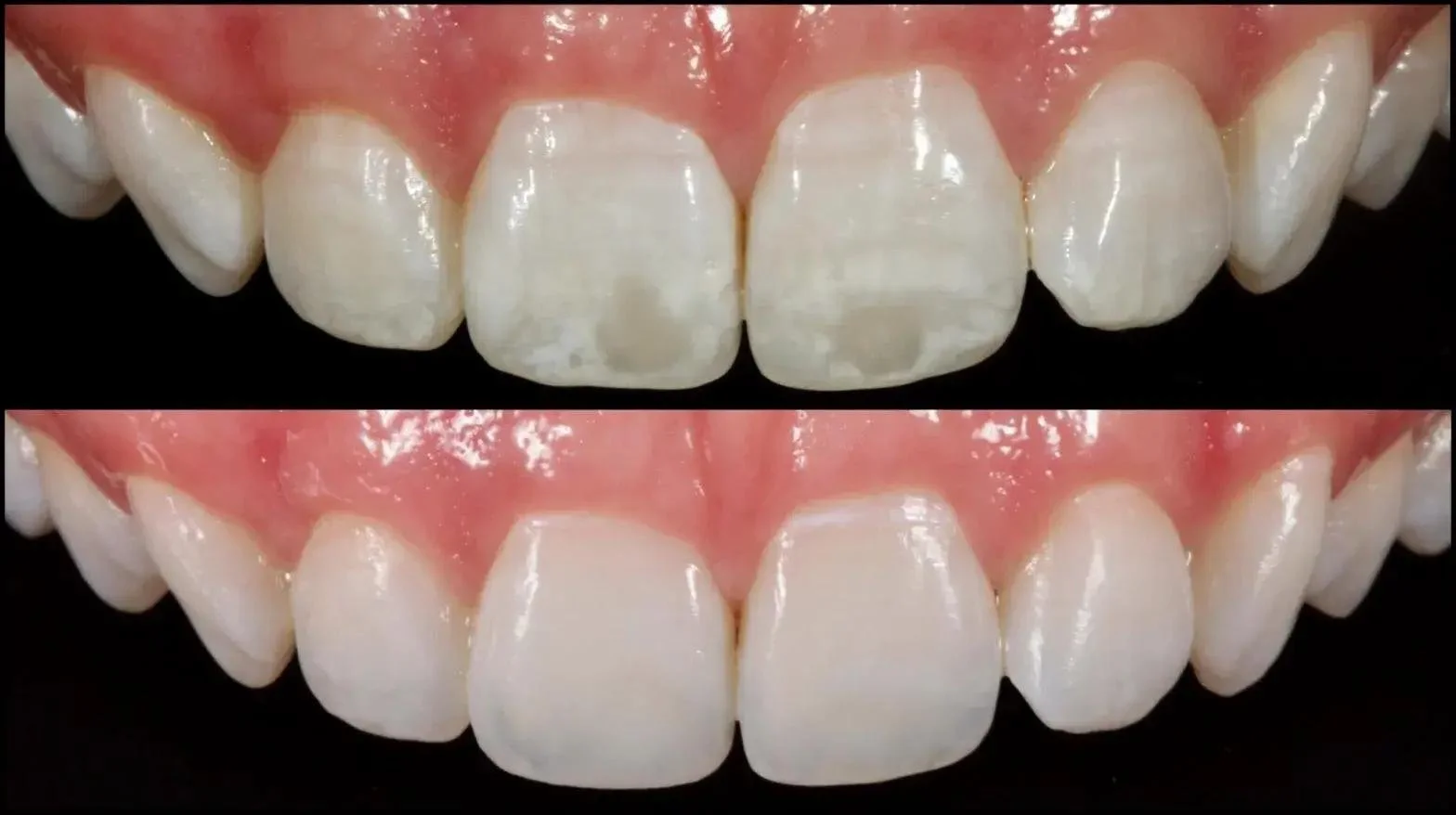
before and after ICON white spot removal treatment enamel repair cosmetic dentistry Fox Point WI dentist near Bayside Shorewood Glendale

We offer advanced ICON® white spot treatment

a minimally invasive solution designed to remove white spots on teeth without drilling or injections. This innovative technique restores the natural appearance of your enamel in as little as one visit.

White spots can develop from braces, early enamel demineralization, or fluorosis. ICON works by penetrating the enamel and blending these spots seamlessly with your natural tooth color.

How ICON Works

ICON uses a specialized resin that infiltrates the porous enamel where white spots form. By filling these microscopic spaces, the tooth regains its natural translucency and appearance.

The result is a smoother, more uniform smile—without removing healthy tooth structure.

Benefits of ICON Treatment:

before and after cosmetic dentistry smile makeover veneers and teeth whitening Fox Point WI cosmetic dentist near Bayside Shorewood Glendale Wisconsin
before and after cosmetic dentistry smile makeover veneers and teeth whitening Fox Point WI cosmetic dentist near Bayside Shorewood Glendale Wisconsin
  • No drilling

  • No injections

  • Preserves natural tooth structure

  • Immediate cosmetic improvement

  • Completed in a single visit (in most cases)

  • Safe, effective, and minimally invasive

Who is a Candidate?

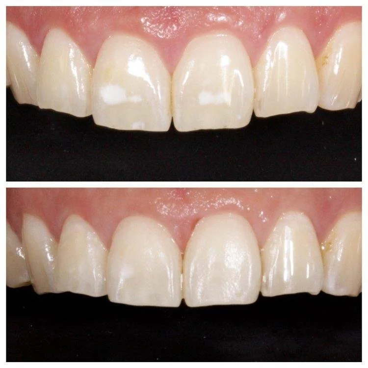
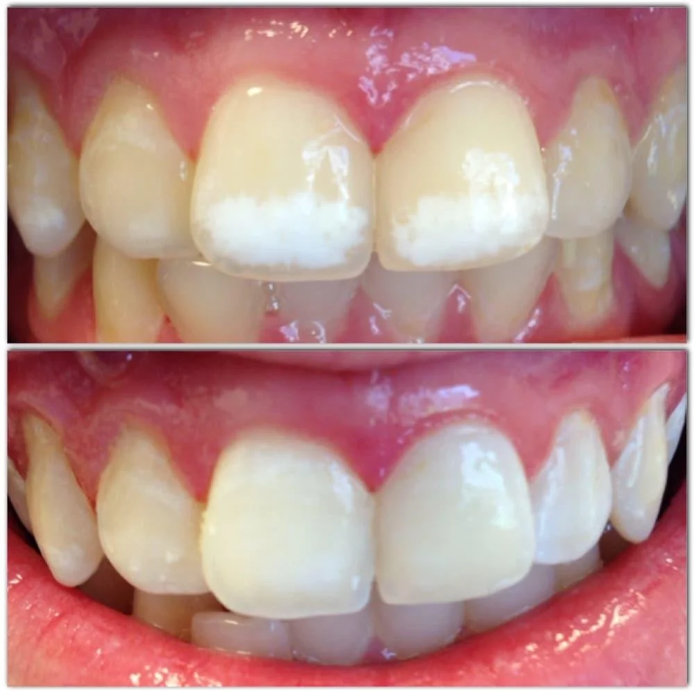
Images shows results after application of ICON white spot treatments on teeth showing drastic improvement and minimally invasive technique
Images shows results after application of ICON white spot treatments on teeth showing drastic improvement and minimally invasive technique

ICON is ideal for patients with:

  • White spots after braces

  • Early enamel lesions (non-cavitated)

  • Mild fluorosis

  • Cosmetic concerns with uneven tooth color

A consultation will determine if ICON is the right solution for your smile.

What to Expect During Your Visit

The procedure is quick and comfortable:

  1. Teeth are gently prepared and isolated

  2. The ICON solution is applied to the affected area

  3. The resin infiltrates the enamel

  4. The tooth is polished for a natural finish

Most treatments can be completed in under 30 minutes.

We can make white spots disappear in less than 30 minutes. It’s not magic—it’s science.