Emergency Dentist in Fox Point, WI

Same-Day Appointments Available

Tooth pain? Broken tooth? Swelling? We offer same-day emergency dental care for patients in Fox Point, Bayside, Whitefish Bay, Glendale, and Mequon.

If you’re in pain, call us now—we’ll do everything we can to see you today.

Dental Emergencies – We’re Here to Help

Dental emergencies can happen at any time—and they can be painful, stressful, and overwhelming. At Fox Point Dental Studio, we provide prompt, same-day emergency dental care to relieve pain and address the problem quickly.

Our goal is simple: get you out of pain and back to normal as soon as possible.

We understand that dental emergencies can’t wait. That’s why we offer same-day appointments whenever possible.

If you are experiencing pain or a dental emergency, call our office right away. Our team will prioritize your visit and do everything we can to see you the same day.

CALL NOW TO BE SEEN TODAY (414) 236-5885

Common Dental Emergencies We Treat

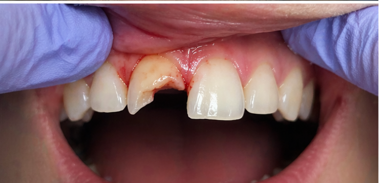
Close-up of chipped and broken front tooth from dental trauma treated with emergency dentistry in Fox Point Wisconsin.
  • We treat a wide range of dental emergencies, including:

    • Severe toothaches or dental pain

    • Broken, chipped, or cracked teeth

    • Knocked-out (avulsed) teeth

    • Lost fillings or crowns

    • Swelling or dental infections

    • Abscesses

    • Bleeding gums or trauma

    If you’re unsure whether it’s an emergency, call us—we’re here to help.

What to Do in a Dental Emergency

Patient experiencing severe jaw pain and toothache requiring emergency dental care in Fox Point, Bayside, Mequon, and Milwaukee Wisconsin.

If you’re experiencing a dental emergency:

  • Stay calm and contact our office immediately

  • Avoid chewing on the affected area

  • Use a cold compress for swelling

  • Keep any broken tooth fragments if possible

  • Do not ignore pain—it often indicates a serious issue

Prompt care can prevent further damage and more complex treatment.

Gentle, Comfortable Emergency Care

We understand that emergency visits can be stressful. Our team focuses on providing gentle, compassionate care in a calm environment.

We use modern techniques to ensure your treatment is as comfortable and efficient as possible—so you can feel at ease from the moment you arrive.

Treatment Options After Emergency Care

After addressing your immediate concern, we’ll discuss long-term solutions to restore your oral health.

Depending on your situation, treatment may include:

  • Fillings or restorations

  • Root canal therapy

  • Crowns

  • Extractions

  • Dental implants or tooth replacement options

Our goal is to provide both immediate relief and lasting results.

Serving Fox Point and Nearby Communities

We proudly provide emergency dental care for patients in:
Fox Point, Bayside, Whitefish Bay, Glendale, Brown Deer, and Mequon.