Custom Night Guards in Fox Point, WI

Protect Your Teeth from Grinding

Affordable, custom-fit night guards for patients in Fox Point, Bayside, Whitefish Bay, Glendale, and Mequon. Prevent damage from teeth grinding and jaw clenching while you sleep.

  • What is a Night Guard?

    A night guard is a custom-made dental appliance worn while you sleep to protect your teeth from grinding (bruxism) and clenching. It acts as a barrier between your upper and lower teeth, reducing pressure and preventing damage.

    At Fox Point Dental Studio, we create custom-fitted night guards designed for comfort, durability, and long-term protection.

  • Signs You May Need a Night Guard

    Many people grind their teeth without realizing it. You may benefit from a night guard if you experience:

    Jaw pain or soreness in the morning

    Frequent headaches

    Tooth sensitivity

    Worn, chipped, or cracked teeth

    Tightness or tension in your jaw

    Clicking or popping in the jaw (TMJ symptoms)

  • Why Choose a Custom Night Guard?

    While over-the-counter guards are available, custom night guards provide a superior fit and better protection.

    Benefits of Custom Night Guards:

    Comfortable, precise fit

    Durable and long-lasting

    Better protection against grinding forces

    Designed specifically for your bite

    Helps reduce jaw tension and discomfort

Patient holding a custom night guard used for teeth grinding and bruxism treatment in Fox Point, Bayside, and Mequon Wisconsin.

Affordable Protection for Your Smile

We offer affordable night guard options to help protect your teeth without breaking the bank.

Investing in a night guard now can prevent costly dental treatments in the future, such as crowns, fillings, or repairs caused by grinding damage.

Protect Your Teeth & Improve Comfort

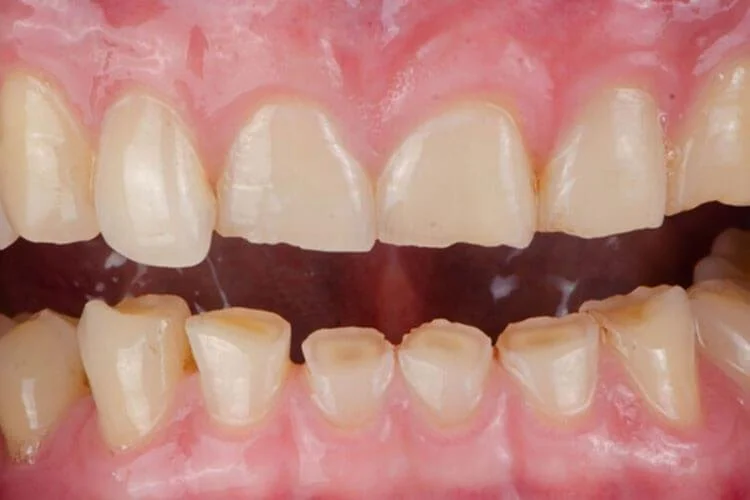
Severely worn teeth caused by grinding and bruxism requiring restorative dental treatment in Fox Point Wisconsin.

Night guards not only protect your teeth—they also help reduce jaw strain and improve overall comfort.

Many patients notice:

  • Reduced jaw pain

  • Fewer headaches

  • Better sleep quality

  • Less tooth sensitivity

What to Expect During Your Visit

Getting a custom night guard is simple:

  1. Digital scan or impressions of your teeth

  2. Custom fabrication for a precise fit

  3. Fitting and adjustments for comfort

Your night guard will be designed to feel natural and comfortable while you sleep.

Serving Fox Point and Nearby Communities

We proudly provide custom night guards for patients in:
Fox Point, Bayside, Whitefish Bay, Glendale, Brown Deer, and Mequon.