Porcelain Veneers in Fox Point, WI

Transform Your Smile with Confidence

Custom-designed porcelain veneers for patients in Fox Point, Bayside, Whitefish Bay, Glendale, and Mequon. Achieve a brighter, more balanced, and natural-looking smile.

What Can Veneers Fix?

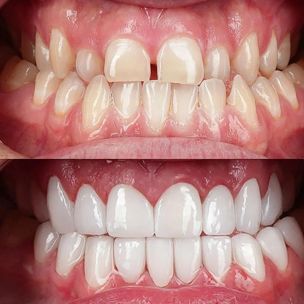
Before and after full smile makeover showing crowded, misaligned teeth corrected with cosmetic dentistry resulting in straight, white, natural-looking smile in Fox Point WI

Porcelain veneers are a versatile cosmetic solution and can correct:

  • Discolored or stained teeth

  • Chipped or worn teeth

  • Gaps between teeth

  • Slightly crooked or uneven teeth

  • Misshapen or undersized teeth

Veneers provide a complete smile transformation with minimal tooth alteration.

Benefits Include:

  • Natural, lifelike appearance

  • Stain-resistant material

  • Durable and long-lasting

  • Minimally invasive treatment

  • Immediate improvement in smile aesthetics

Veneers are one of the most effective ways to achieve a confident, radiant smile.

happy smiling patients outside Fox Point Dental Studio after dental treatment Fox Point WI dentist near Bayside Shorewood Glendale family and cosmetic dentistry
happy smiling patients outside Fox Point Dental Studio after dental treatment Fox Point WI dentist near Bayside Shorewood Glendale family and cosmetic dentistry

Why Choose Porcelain Veneers?

Porcelain veneers offer both cosmetic and functional benefits.

The Veneers Process

Your veneer treatment is carefully planned and customized to your goals.

digital smile design analysis with tooth proportions and measurements cosmetic dentistry planning Fox Point WI smile makeover near Bayside Shorewood Glendale

Step 1: Consultation & Smile Design

We evaluate your smile and discuss your desired outcome.

Step 2: Tooth Preparation

A small amount of enamel is gently reshaped to ensure a perfect fit.

Step 3: Custom Veneer Fabrication

Your veneers are crafted to match your ideal color and shape.

Step 4: Final Placement

The veneers are bonded to your teeth, instantly transforming your smile.

Are You a Candidate for Veneers?

before and after smile makeover cosmetic dentistry results Fox Point WI veneers whitening smile transformation near Bayside Shorewood Glendale

You may be a candidate if you:

  • Want to improve the appearance of your smile

  • Have healthy teeth and gums

  • Are you looking for a long-lasting cosmetic solution

  • Want a more uniform, symmetrical smile

A consultation will help determine if veneers are the right option for you.

Long-Lasting, Beautiful Results

With proper care, porcelain veneers can last many years while maintaining their natural beauty. Regular dental visits and good oral hygiene will help protect your investment.